Ung thư vòm họng: Nguyên nhân, dấu hiệu và phương pháp điều trị hiệu quả

Thứ Hai, 29/12/2025

Ung thư vòm họng là gì?

Ung thư vòm họng là bệnh lý ác tính phát sinh từ các tế bào ở vùng vòm họng (phần cao nhất của họng, ngay sau mũi). Đây là loại ung thư phổ biến nhất trong các loại ung thư vùng đầu mặt cổ và có tỷ lệ mắc khá cao tại Việt Nam. Tại Bệnh viện Lạc Việt, chúng tôi nhấn mạnh rằng Ung thư vòm họng nếu được phát hiện ở giai đoạn sớm có tiên lượng điều trị rất tốt. Tuy nhiên, do vị trí giải phẫu nằm khuất và triệu chứng vay mượn của các cơ quan lân cận nên Ung thư vòm họng thường dễ bị bỏ qua trong giai đoạn đầu.

1. Nguyên nhân và yếu tố nguy cơ gây Ung thư vòm họng

Việc hiểu rõ các tác nhân thúc đẩy Ung thư vòm họng giúp chúng ta có chiến lược phòng ngừa hiệu quả.

1.1. Virus Epstein-Barr (EBV): Đây là yếu tố hàng đầu liên quan mật thiết đến sự hình thành Ung thư vòm họng. Sự hiện diện của bộ gen virus này trong các tế bào ác tính cho thấy nó đóng vai trò quan trọng trong việc kích phát căn bệnh phát triển.

1.2. Chế độ ăn uống và môi trường: Thói quen ăn nhiều thực phẩm lên men, muối chua chứa nhiều nitrosamines là tác nhân gây Ung thư vòm họng thường gặp. Ngoài ra, việc tiếp xúc thường xuyên với khói bụi, hóa chất độc hại cũng làm tăng nguy cơ mắc Ung thư vòm họng.

1.3. Yếu tố di truyền: Những người có người thân trong gia đình mắc Ung thư vòm họng sẽ có nguy cơ đối mặt với căn bệnh này cao hơn so với cộng đồng.

Virus Epstein-Barr (EBV) là yếu tố hàng đầu liên quan mật thiết đến sự hình thành Ung thư vòm họng

 

2. Phân loại Ung thư vòm họng

Tổ chức Y tế Thế giới (WHO) chia Ung thư vòm họng thành các loại chính dựa trên đặc điểm mô bệnh học:

  • Ung thư biểu mô biệt hóa vảy: Loại Ung thư vòm họng này thường liên quan đến thói quen hút thuốc lá và uống rượu, tế bào có xu hướng sừng hóa rõ rệt.

  • Ung thư biểu mô không biệt hóa: Đây là dạng Ung thư vòm họng phổ biến nhất tại Việt Nam, có mối liên hệ rất chặt chẽ với virus EBV và thường nhạy cảm với liệu pháp xạ trị.

  • Các loại hiếm gặp: Bao gồm ung thư biểu mô tuyến hoặc các khối u lympho khởi phát tại vòm họng, đòi hỏi kỹ thuật chẩn đoán chuyên sâu để xác định chính xác thể bệnh Ung thư vòm họng cụ thể.

Các triệu chứng ung thư vòm họng rất phức tạp, thường dễ gây nhầm lẫn do các triệu chứng thường đến từ các cơ quan xung quanh như tai, mũi, thần kinh, hạch…

 

3. Triệu chứng Ung thư vòm họng theo từng giai đoạn

Do vị trí đặc thù, biểu hiện của bệnh lý này thường vay mượn từ các cơ quan lân cận như tai, mũi và thần kinh sọ não.

3.1. Dấu hiệu Ung thư vòm họng giai đoạn sớm

  • Triệu chứng về tai: Bệnh nhân thường thấy ù tai một bên, cảm giác đầy tai kéo dài. Đây là hậu quả khi khối u Ung thư vòm họng chèn ép vào vòi nhĩ.

  • Triệu chứng về mũi: Ngạt mũi một bên tăng dần, đôi khi xì mũi có lẫn dây máu tươi là biểu hiện Ung thư vòm họng cần đặc biệt lưu tâm.

  • Đau đầu: Thường đau nửa đầu hoặc đau sâu trong hốc mắt, đau âm ỉ nhưng tăng dần theo tiến triển của Ung thư vòm họng.

3.2. Triệu chứng Ung thư vòm họng khi tiến triển và xâm lấn

  • Xuất hiện hạch cổ: Đây là triệu chứng khiến nhiều bệnh nhân đi khám nhất. Hạch cổ do Ung thư vòm họng thường cứng, không đau và to dần theo thời gian.

  • Triệu chứng thần kinh: Khi khối u Ung thư vòm họng xâm lấn lên nền sọ sẽ gây liệt các dây thần kinh sọ não, dẫn đến sụp mi hoặc nhìn đôi.

  • Suy kiệt cơ thể: Người bệnh giai đoạn muộn thường sụt cân nhanh chóng do tế bào Ung thư vòm họng tiêu thụ năng lượng cơ thể.

 

4. Các phương pháp chẩn đoán Ung thư vòm họng

Tại Bệnh viện Lạc Việt, quy trình xác định Ung thư vòm họng được thực hiện nghiêm ngặt để đánh giá đúng tình trạng bệnh.

4.1. Nội soi và xét nghiệm sàng lọc

  • Nội soi tai mũi họng NBI: Sử dụng ánh sáng dải tần hẹp giúp phát hiện sớm các biến đổi mạch máu nghi ngờ Ung thư vòm họng ngay từ khi khối u còn nhỏ.

  • Xét nghiệm virus EBV: Kiểm tra nồng độ kháng thể trong máu để đánh giá nguy cơ và theo dõi diễn biến của Ung thư vòm họng.

4.2. Chẩn đoán hình ảnh và giải phẫu bệnh

  • Chụp MRI hoặc CT Scan: Kỹ thuật này giúp bác sĩ đánh giá mức độ xâm lấn của Ung thư vòm họng vào nền sọ và các cơ quan lân cận.

  • Sinh thiết vòm họng: Bác sĩ lấy một mẫu mô nhỏ tại vùng nghi ngờ để xét nghiệm giải phẫu bệnh. Đây là tiêu chuẩn vàng để khẳng định một người có mắc Ung thư vòm họng hay không.

  • PET-CT: Được chỉ định khi cần kiểm tra xem Ung thư vòm họng đã di căn xa đến phổi, gan hoặc xương hay chưa.

Trong trường hợp nghi ngờ mắc ung thư vòm họng hoặc phát hiện các mô hạch bất thường, bác sĩ sẽ lấy sinh thiết và làm các xét nghiệm cần thiết để cho kết luận chính xác cuối cùng.

 

5. Các giai đoạn phát triển của Ung thư vòm họng

Hệ thống phân chia giai đoạn giúp cá nhân hóa phác đồ điều trị cho bệnh nhân mắc Ung thư vòm họng.

  1. Giai đoạn I: Khối u còn nhỏ, khu trú hoàn toàn tại vùng vòm họng, chưa lan ra các mô xung quanh.

  2. Giai đoạn II: Ung thư vòm họng bắt đầu lan vào các mô mềm của họng hoặc đã xuất hiện hạch cổ kích thước nhỏ.

  3. Giai đoạn III: Khối u xâm lấn vào các cấu trúc xương hoặc xoang cạnh mũi, hạch cổ có thể xuất hiện ở cả hai bên.

  4. Giai đoạn IV: Đây là giai đoạn muộn, Ung thư vòm họng đã di căn đến các cơ quan ở xa trong cơ thể.

 

6. Các phương pháp điều trị Ung thư vòm họng hiệu quả

Tại Bệnh viện Lạc Việt, chiến lược điều trị Ung thư vòm họng được xây dựng dựa trên nguyên tắc đa mô thức, kết hợp linh hoạt giữa xạ trị, hóa trị và các liệu pháp tân tiến nhằm tối ưu hóa khả năng tiêu diệt tế bào ác tính.

6.1. Xạ trị – Phương pháp điều trị chủ đạo

Do vị trí của vòm họng nằm sâu trong nền sọ và rất nhạy cảm với tia xạ, nên xạ trị được coi là phương pháp quan trọng nhất để điều trị Ung thư vòm họng.

  • Xạ trị điều biến liều (IMRT): Đây là kỹ thuật xạ trị tiên tiến nhất hiện nay. IMRT cho phép bác sĩ lập kế hoạch 3D để tập trung liều bức xạ cao nhất vào chính xác khối u vòm họng, đồng thời giảm thiểu tối đa liều xạ chiếu vào các mô lành xung quanh. Điều này giúp bảo tồn chức năng của tuyến nước bọt (giảm khô miệng), bảo vệ tủy sống và các dây thần kinh sọ não quan trọng.

  • Xạ trị áp sát: Trong một số trường hợp khối u còn sót lại sau xạ trị ngoài, bác sĩ có thể chỉ định xạ trị áp sát để đưa nguồn phóng xạ tiếp xúc trực tiếp với bề mặt vùng vòm họng nhằm tiêu diệt triệt để tế bào bệnh.

6.2. Hóa trị phối hợp (Hóa xạ trị đồng thời)

Việc sử dụng thuốc hóa chất giúp tăng độ nhạy của tế bào Ung thư vòm họng với tia xạ, đồng thời tiêu diệt các mầm mống ác tính có nguy cơ lan rộng ra toàn thân.

  • Hóa xạ trị đồng thời: Đây là “tiêu chuẩn vàng” cho các bệnh nhân ở giai đoạn tiến triển. Thuốc hóa chất và tia xạ được tiến hành song song để tạo ra tác động kép, giúp thu nhỏ khối u vòm họng nhanh chóng và hiệu quả hơn so với việc điều trị đơn lẻ.

  • Hóa trị tân bổ trợ: Được thực hiện trước khi bắt đầu xạ trị nhằm làm giảm kích thước khối u, giúp cho việc lập kế hoạch xạ trị sau đó thuận lợi hơn và kiểm soát tốt các ổ di căn tiềm tàng.

  • Hóa trị bổ trợ: Dùng sau khi kết thúc đợt xạ trị chính để quét sạch hoàn toàn các tế bào Ung thư vòm họng còn sót lại trong cơ thể.

6.3. Liệu pháp nhắm trúng đích và Miễn dịch

Đây là những bước tiến mới trong cuộc chiến chống lại Ung thư vòm họng, mở ra hy vọng cho cả những trường hợp bệnh đã ở giai đoạn muộn.

  • Thuốc nhắm trúng đích: Loại thuốc này tấn công vào các protein đặc hiệu trên bề mặt tế bào bệnh (ví dụ như thụ thể EGFR). Khác với hóa trị thông thường, liệu pháp này giúp ngăn chặn sự phát triển của khối u vòm họng mà ít gây tổn thương cho các tế bào khỏe mạnh.

  • Liệu pháp miễn dịch: Kích hoạt hệ thống phòng thủ của chính cơ thể người bệnh để nhận diện và tiêu diệt tế bào Ung thư vòm họng. Phương pháp này thường được chỉ định khi bệnh có dấu hiệu tái phát hoặc đã di căn xa sang các tạng khác.

6.4. Vai trò của phẫu thuật trong điều trị

Mặc dù phẫu thuật không được dùng làm phương pháp điều trị chính ngay từ đầu cho bệnh lý này, nhưng nó đóng vai trò hỗ trợ đắc lực trong một số tình huống cụ thể:

  • Nạo vét hạch cổ: Sau khi kết thúc liệu trình xạ trị, nếu các hạch ở cổ vẫn còn sót lại, bác sĩ sẽ tiến hành phẫu thuật để loại bỏ chúng, tránh nguy cơ bệnh tái phát từ hệ bạch huyết.

  • Phẫu thuật nội soi nền sọ: Kỹ thuật này được áp dụng cho những trường hợp Ung thư vòm họng tái phát khu trú tại vùng vòm, nơi mà việc tiếp tục xạ trị có thể gây ra nhiều biến chứng nguy hiểm.

 

7. Ca lâm sàng thực tế tại Bệnh viện Lạc Việt

Nam thanh niên N.V. N (Phúc Yên, Vĩnh Phúc) 18 tuổi tới khám tại Bệnh viện hữu nghị Lạc Việt Phúc Yên với triệu chứng ù tai. Đặc biệt ù tai tiếng trầm, cảm giác như nước ở trong tai. Qua thăm khám, tai của bệnh nhân bị viêm, ứ dịch một bên, kèm viêm xoang cấp.

Bệnh nhân được chỉ định điều trị viêm mũi xoang bằng kháng sinh, kháng viêm liều cao. Tuy nhiên, phần tai viêm của bệnh nhân không hề tiến triển.
“Nội soi tai mũi họng đánh giá sau điều trị của bệnh nhân N cho thấy: vòm họng dầy, nề, không phù hợp với tổn thương viêm. Vì vậy chúng tôi nghi ngờ, đây là dấu hiệu của một tổn thương khác có thể là Ung thư vòm. Vì vậy, đã tư vấn bệnh nhân sinh thiết để kiểm tra” – Thạc sĩ. Bác sĩ Đỗ Anh Bền – Trưởng khoa Tai Mũi Họng Bệnh viện hữu nghị Lạc Việt Phúc Yên cho biết.

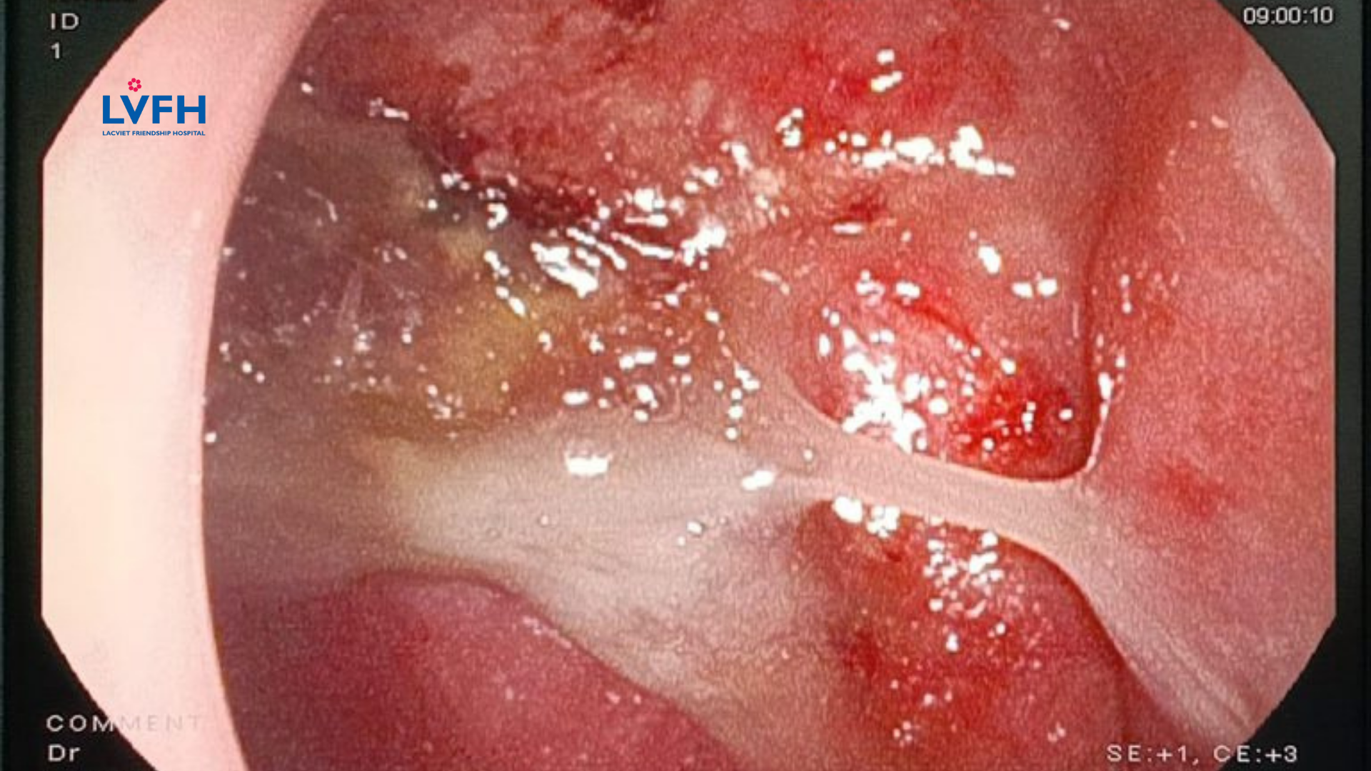
Kết quả sau khi sinh thiết: Bệnh nhân mắc Ung thư vòm họng giai đoạn sớm! Bệnh nhân được chỉ định điều trị bằng phương pháp xạ trị sau đó. Do phát hiện ở giai đoạn sớm, điều trị kịp thời nên hiện tại (sau 1 năm), sức khỏe của bệnh nhân đã ổn định.

Hình ảnh vòm họng bệnh nhân sau xạ trị

 

8. Tầm soát sớm Ung thư vòm họng

Do bệnh thường diễn biến thầm lặng, việc tầm soát định kỳ là vô cùng cần thiết để phát hiện Ung thư vòm họng kịp thời:

  • Đối tượng cần tầm soát: Người thường xuyên hút thuốc, uống rượu hoặc có tiền sử gia đình mắc bệnh lý này.

  • Phương pháp: Nội soi định kỳ 6 tháng một lần là cách tốt nhất để kiểm tra các bất thường nghi ngờ Ung thư vòm họng.

 

9. Thông điệp từ chuyên gia Bệnh viện Lạc Việt

Ung thư vòm họng là căn bệnh có thể đẩy lùi nếu được phát hiện ở giai đoạn sớm. Mỗi cá nhân nên chủ động bảo vệ mình bằng cách duy trì lối sống lành mạnh và thực hiện tầm soát định kỳ.

Đặc biệt, nếu thấy các dấu hiệu như ù tai, ngạt mũi kéo dài, bạn nên đến ngay Bệnh viện Lạc Việt để kiểm tra. Việc can thiệp sớm chính là chìa khóa để chiến thắng Ung thư vòm họng và bảo vệ chất lượng cuộc sống lâu dài. Chúng tôi luôn đồng hành cùng bạn trong hành trình phòng chống Ung thư vòm họng.


Hệ thống Bệnh viện Lạc Việt

🏥 LVFH Hà Nội: Số 9 Phan Chu Trinh, Phường Cửa Nam, Thành phố Hà Nội
☎ 𝐇𝐨𝐭𝐥𝐢𝐧𝐞: 0869 665 115
🏥 LVFH Vĩnh Yên: Đường Nguyễn Tất Thành, Định Trung, TP. Vĩnh Yên, Vĩnh Phúc.
☎ 𝐇𝐨𝐭𝐥𝐢𝐧𝐞: 1900 1269 hoặc 0949 232 115
🏥 LVFH Phúc Yên: Đường Hai Bà Trưng, Hùng Vương, TP. Phúc Yên, Vĩnh Phúc.
☎ 𝐇𝐨𝐭𝐥𝐢𝐧𝐞: 0837 732 115